ICS Dental Studio

Use it or lost it - don't let your dental benefits go to waste!

With the year coming to a close, this is the last opportunity to use your remaining dental benefits before they reset.

To book in, please call us on (02) 8528 7144.

Please note our clinic will be closed from December 23rd, reopening on January 5th 2026. Happy Holidays!

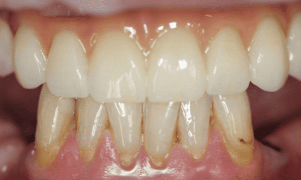
Upper Arch Transformation with All-on-4

This patient's upper arch had significant wear, discolouration and structural compromise, impacting the patient's bite and overall comfort. 

We successfully restored the upper arch using the All-on-4 dental implant technique. This full-arch restoration provides a permanent set of teeth that are securely anchored by just four strategically placed dental implants.

Phase two will include replacing the lower arch.

Related Services:

All-on-4® Implants
Still need an appointment?
Any surgical or invasive procedure carries risks. Before proceeding, you should seek a second opinion from an appropriately qualified health practitioner.
Privacy Policy