ICS Dental Studio

Toothache? Broken Tooth? We're here to help!

To book in for a dental emergency, please call us on (02) 8528 7144.

Addressing Uneven Wear with Porcelain Veneers

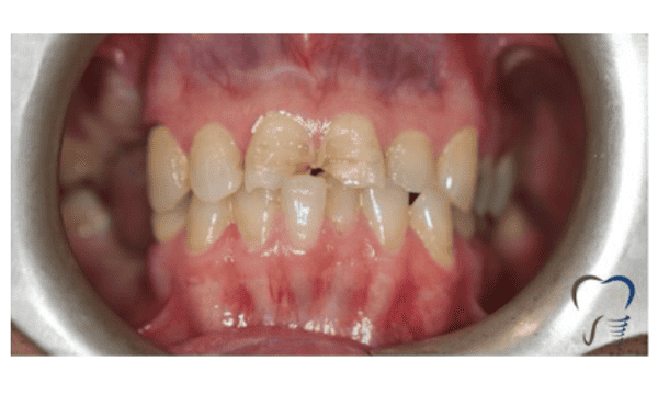
This patient presented with concerns regarding uneven wear of their upper anterior teeth. Following a comprehensive clinical evaluation, a treatment plan was implemented to restore the upper arch using custom-crafted porcelain veneers.

The procedure involved the placement of thin ceramic restorations over the front surface of the teeth. This approach allowed for a precise adjustment of the teeth’s dimensions and shade, resulting in a more uniform and balanced smile.

Related Services:

Cosmetic Dentistry
Ready to Book an Appointment?
Any surgical or invasive procedure carries risks. Before proceeding, you should seek a second opinion from an appropriately qualified health practitioner.
Privacy Policy